Acompañamos a profesionales a crecer con talleres virtuales de imágenes médicas, transformando el conocimiento radiológico en práctica clínica
Conocimiento radiológico que se transforma en práctica profesional.
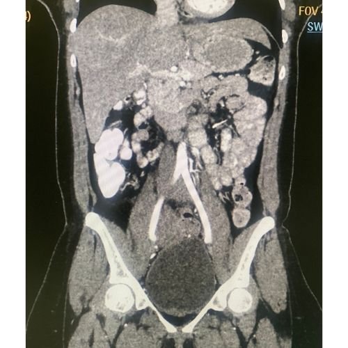
Realce Arterial Avanzado Tomografía computarizada aplicada
Programa de formación especializado en realce arterial en tomografía computarizada, enfocado en la integración adecuada de los parámetros técnicos, la fisiología del paciente y la correcta administración del medio de contraste. El curso incluye el manejo del inyector automático y las principales técnicas de sincronización del escaneo, con un enfoque práctico y clínico orientado a optimizar la calidad diagnóstica de los estudios arteriales.
Fundamentos Técnicos de la Tomografía La base técnica para una práctica segura y de calidad.
Los programas están diseñados en módulos que siguen una ruta lógica de aprendizaje, permitiendo al estudiante construir bases sólidas y avanzar hacia estudios complejos con mayor seguridad y dominio técnico.
Tomografía Aplicada
La técnica correctamente aplicada a la práctica clínica diaria.
Programa enfocado en la aplicación práctica de la tomografía computarizada en estudios clínicos habituales, integrando la selección de protocolos, la correcta adquisición de imágenes y la adaptación técnica según el paciente. Su objetivo es optimizar la práctica diaria y mejorar la calidad diagnóstica de los estudios tomográficos.
Mentoría profesional en tomografía computarizada
Formación técnica aplicada a la práctica real
La academia ofrece formación en tomografía computarizada basada en la práctica clínica diaria, integrando técnica, criterio profesional y aplicación real en el área de trabajo, no solo teoría académica.
Aprendizaje estructurado y progresivo
Los programas están diseñados en módulos que siguen una ruta lógica de aprendizaje, permitiendo al estudiante construir bases sólidas y avanzar hacia estudios complejos con mayor seguridad y dominio técnico.
Enfoque profesional y actualizado
Cada curso está enfocado en optimizar la calidad diagnóstica, mejorar la toma de decisiones técnicas y fortalecer el rol del profesional en tomografía, con contenido actualizado y orientado a la excelencia en imagen médica.
Fortalece tu práctica profesional en imágenes médicas
Accede a programas diseñados para fortalecer tu conocimiento técnico, mejorar la calidad de tus estudios y acompañarte en tu crecimiento profesional en tomografía computarizada.
